怎么申请皇冠信用网 _广东一男子20多年不敢一个人出门,医生从他脑中取出10厘米活虫
皇冠信用网会员开户(www.hg0088.us)皇冠会员开户_登3代理,皇冠信用网/—开会员账号—皇冠信用网招登1登2登3皇冠信用网平台出售,家住汕尾的阿勇(化名)今年52岁,从21年前开始出现癫痫大发作以来,他几乎从未独自出过门怎么申请皇冠信用网 。近日,广州的医生从他颅内取出一条潜伏长达20余年、约10厘米的裂头蚴,他感到前所未有的轻松。
不敢独自出门的男子
“距离现在已经有21年了!”阿勇感慨道怎么申请皇冠信用网 。那晚,他在睡梦中突然四肢抽搐、牙关咬紧、眼球上翻,完全失去意识。在当地医院被诊断为“肉芽肿炎”,但医生告知,手术可能加剧发作,阿勇选择了保守治疗。
服用抗癫痫药后,阿勇依然会出现癫痫发作怎么申请皇冠信用网 。他的心理压力与日俱增,“每天在家,不敢一个人出门,担心随时发作。”他感觉脑袋始终堵着东西,只能靠小诊所的药片暂时缓解。
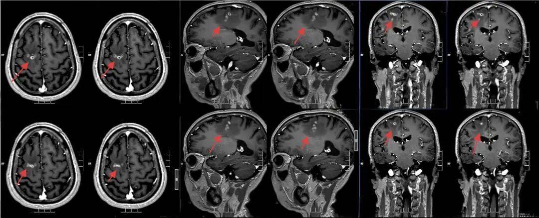
一年前,阿勇的病情进一步加重怎么申请皇冠信用网 。每次发作后,会出现短暂失语、左侧面瘫和肢体麻木。颅脑MRI检查结果提示,可能是寄生虫感染。为寻求进一步诊疗,阿勇来到广东三九脑科医院。
手术取出10厘米活虫
该院神经外二科张旭标副主任医师接诊后,根据影像结果,发现其右额叶病变,局部肉芽肿形成伴周围组织水肿怎么申请皇冠信用网 。“这是大脑为了隔离‘入侵者’筑起一道‘隔离墙’,周围的脑组织被刺激得肿胀。”张旭标解释,这些影像特征高度指向脑裂头蚴病。经比对,病灶范围稳定,手术时机成熟。

术前影像
“很激动,身体被搞垮了20多年怎么申请皇冠信用网 。”得知手术有望根治顽疾,阿勇在期待中夹杂着紧张。
手术采用神经导航技术,精确定位病变,张旭标在显微镜下小心抓取寄生虫、清理“虫窝”,避免损伤周围功能区脑组织怎么申请皇冠信用网 。术中,一条长约10厘米的灰白色寄生虫被完整取出。术后病理报告证实为裂头蚴。

张旭标在手术中
术后恢复良好的阿勇,脸上露出了笑容,“头不‘堵’了,感觉人都开朗、轻松了怎么申请皇冠信用网 。”
该院神经外二科副主任刘妲介绍,裂头蚴病多与饮食习惯相关,常因食用未煮熟的青蛙、蛇类,或饮用被污染的生水所致怎么申请皇冠信用网 。阿勇回忆,自己曾喝过生水,后来偶尔也会食用生腌虾蟹。
寄生虫在大脑中“安家”后,会持续刺激周围组织,引发肉芽肿和水肿,压迫神经结构,进而导致癫痫、头痛、肢体麻木甚至意识丧失怎么申请皇冠信用网 。由于潜伏期长、症状隐匿,极易被误诊为普通癫痫或脑肿瘤。刘妲特别提醒,预防寄生虫感染,关键要做到“三不”:不喝生水,不吃生食或未煮熟的食物,不用生肉敷贴伤口。
来源:广州日报
猜你喜欢
- 4小时前皇冠信用网会员注册_嘉兴市原市长李军,调任浙江省海洋经济发展厅
- 6小时前皇冠信用网登3代理_受中国12万吨核航母刺激太大,美国掀桌子了,砸锅卖铁要建大航母
- 6小时前皇冠信用网登3代理_巴萨冬季转会市场的挑战:迪萨西是否成为防线的救世主?
- 6小时前皇冠信用网登3代理_巴萨冬季转会市场的挑战:迪萨西是否成为防线的救世主?
- 17小时前皇冠信用平台出租出售_同村两男子酒后争着买单大打出手,一人报警后被抓!酒醒后十分后悔
- 17小时前皇冠信用平台出租出售_卧室门一关,湿被子一堵!七旬夫妻的“神操作”火场保命,消防员都点赞
- 18小时前世界杯足球平台代理_“离婚冷静期毒杀儿女案”一审宣判:刘仲杰哄骗儿女喝农药致二人死亡,被判死刑
- 18小时前世界杯足球平台代理_圣诞大战-杜兰特25分詹姆斯18分 火箭大胜湖人
- 18小时前世界杯足球平台代理_广州市委常委、常务副市长、黄埔区委书记陈杰任江门市委书记
- 20小时前正版皇冠信用网_你真“刑”!北京一女子多次偷外卖被抓,自称受过高等教育,积蓄不少
- 20小时前正版皇冠信用网_菲律宾炫耀光电“锁定”054A,一看位置,原来已到菲军“家门口”了!
- 20小时前正版皇冠信用网_羡慕哭!新易盛给员工16块发股票,现在翻28倍!这班谁不想上?求扩招
- 1天前信用盘怎么注册_浙江俩女子吃完火锅刮中100万,此店去年同一天,开出846万大奖
- 1天前信用盘怎么注册_天津医科大学总医院原党委书记张建宁被查,系业界知名专家
- 1天前信用盘怎么注册_中山一员工中毒死亡,涉事企业破坏现场被建议从重处罚
- 1天前正版皇冠信用网开户_中国航天1月2次失败,长征十二号甲回收失利,火箭回收成难题?
- 1天前正版皇冠信用网开户_5架大型无人机锁定钓鱼岛?高市通告全球:要与中国打持久战
- 1天前皇冠信用网怎么开户_湖南湘西州委常委、州纪委书记何锋已任吉首大学党委书记
- 1天前皇冠信用网怎么开户_美国承认中国崛起,五角大楼一口咬定:中国10年后将坐拥9艘航母,特朗普很焦虑!
- 1天前皇冠信用网怎么开户_徐湖平关系网曝光,背景果然不简单
- 2天前皇冠信用网会员申请_朱孝天举报阿信所属公司“相信音乐”:勾结黄牛炒票逃税、海外洗钱、假唱……
- 2天前皇冠信用网会员申请_羽绒服为什么越穿越不暖和?专家:压缩、暴力机洗、干洗,会破坏羽绒结构,让空气层变薄
- 2天前怎么开皇冠信用平台_老人用地面消火栓的水洗生活物品,街道办回应
- 2天前怎么开皇冠信用平台_网友吐槽沈阳扫雪车弄脏路旁私家车,当地回应:难免出现该情况,表示歉意


网友评论